שבר טראומטי במרפק הוא אחת הפגיעות השכיחות בתביעות נזקי גוף. מעבר לכאב ולשיקום הרפואי, מדובר בפגיעה שעשויה לזכות בפיצוי כספי משמעותי, במיוחד כאשר מתפתחת פגיעה בעצב האולנרי או נותרת מגבלה תפקודית קבועה. במקרים כאלה נבחנים אחוזי הנכות, תקופת אי הכושר והשלכות הפגיעה על יכולת העבודה והחיים היומיומיים.
עו״ד אורן בושרי, מ.ר. 29404.
נכות רפואית בעקבות פגיעה במרפק
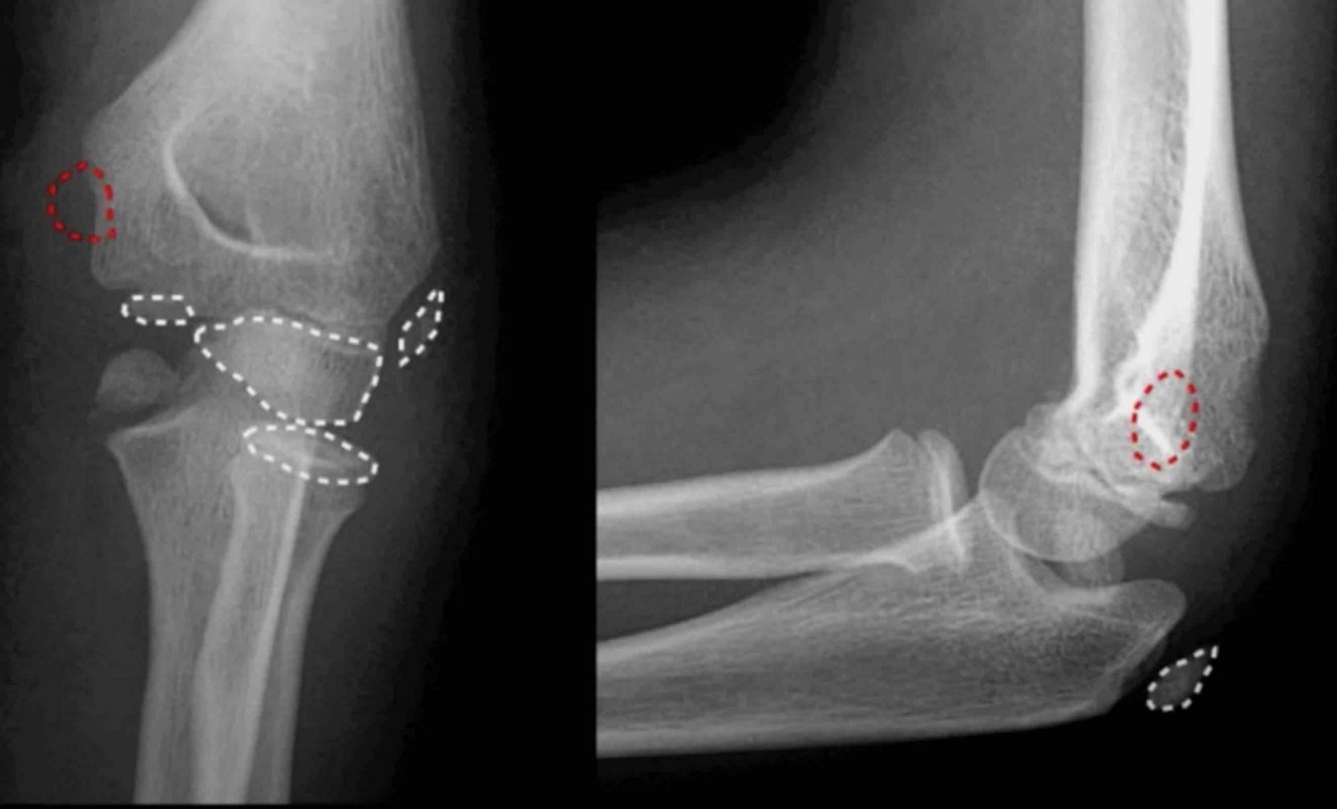
שבר במרפק עלול להתרחש במספר אזורים מרכזיים:
- אולקרנון, הקצה האחורי הבולט של המרפק
- ראש הרדיוס בעצם האמה
- עצם הזרוע מעל המפרק
תקנות הנכות קובעות אחוזי נכות בהתאם למיקום השבר, לאופן ההחלמה ולמידת ההגבלה התפקודית. הסעיף המרכזי הרלוונטי הוא סעיף 41.
פגיעה בעצב האולנרי לאחר שבר במרפק
העצב האולנרי עובר בצמוד למרפק באזור רגיש במיוחד. טראומה ישירה או שבר עם תזוזה עלולים לגרום לפגיעה עצבית (של Ulnar Nerve) מיידית או מתפתחת.
01
תסמינים אופייניים
+
פגיעה בעצב האולנרי גורמת לרוב לתסמינים שמופיעים בהדרגה, ולכן חשוב לזהות אותם מוקדם.
- תחושת נימול או עקצוץ בזרת ובקמיצה
- ירידה בתחושה בכף היד
- חולשה באחיזה, ולעיתים גם ירידה בדיוק בתנועות עדינות
- החמרה בזמן כיפוף המרפק, במיוחד בפעילות ממושכת
- קושי בפעולות יומיומיות כמו נהיגה או החזקת טלפון
במילים אחרות, מדובר בפגיעה נוירולוגית עם משמעות תפקודית ברורה, ולא רק אי נוחות זמנית.
02
אחוזי נכות בגין פגיעה עצבית
+
תקנות הנכות קובעות נכות בגין פגיעה בעצב האולנרי לפי סעיף 31(5)א. לכן, כשבוחנים את התיק, שמים דגש על היקף ההפרעה התחושתית, מידת החולשה המוטורית, וההשפעה על תפקוד היד.
בפועל, שיעור הנכות נע לרוב בין 5% לבין 20%, ובמקרים משמעותיים יותר הוא עשוי להגיע גם ל 20%–30%, בהתאם לעוצמת הפגיעה ולפיזור התסמינים.
בנוסף, כאשר הפגיעה העצבית מצטרפת לשבר אורתופדי, נוצר שילוב נכות משמעותי, ולכן גם היקף הפיצוי האפשרי עשוי לגדול.
03
פגיעה עצבית מאוחרת לאחר טראומה
+
לא כל פגיעה עצבית מופיעה מיד אחרי האירוע. לעיתים, שיתוק או פגיעה בעצב האולנרי מתפתחים גם שבועות ואף חודשים לאחר השבר.
בדרך כלל זה קורה בגלל לחץ משני על העצב, צלקות פנימיות, או שינויי מבנה סביב המפרק, ולכן התמונה הקלינית יכולה להחמיר גם לאחר שהשבר עצמו מתאחה.
מחקרים רפואיים תיארו מקרים שבהם ילדים פיתחו פגיעה עצבית מאוחרת גם חודשיים עד שלושה חודשים לאחר השבר, ובחלקם נותרה הגבלה מתמשכת בתנועה ובתחושה.
עו״ד אורן בושרי
שבר באולקרנון ופגיעות טראומה ישירה
האולקרנון הוא אחד האזורים הפגיעים ביותר במרפק. מיקומו החיצוני והיעדר הגנה שרירית הופכים אותו לרגיש במיוחד לפגיעות ישירות בנפילות ובתאונות.
כאשר השבר מלווה בתזוזה, מבצעים לרוב קיבוע פנימי בניתוח באמצעות פלטות, ברגים או סיכות קירשנר. קיבוע בגבס בלבד אינו מספק ברוב המקרים, משום ששריר הזרוע האחורי מפעיל כוח מתמיד המושך את השבר ממקומו.
סיכום משפטי
שבר בשילוב פגיעה בעצב האולנרי יוצר לעיתים נזק מורכב, שאינו מסתכם בפגיעה אורתופדית בלבד אלא כולל גם רכיב נוירולוגי משמעותי. כאשר האבחון מתעכב, המעקב הרפואי לקוי או הטיפול אינו מותאם למצב הקליני, עלול להיגרם נזק תפקודי מתמשך המשפיע על עבודה, תפקוד יומיומי ואיכות חיים.